الإثنين, ديسمبر 8 2025
الوضع المظلم
انستقرام
يوتيوب
تويتر
فيسبوك
Cairo
18
℃
القائمة
بحث عن
الوضع المظلم
الرئيسية
/
صحة
صحة
صحة
الرجال مرضى سرطان البروستات يتناولوا بذور اليقطين بهذه الطريقة الصحيحة
سبتمبر 6, 2025
سبتمبر 5, 2025
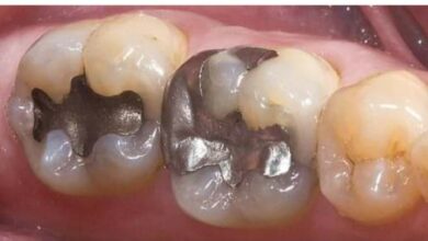
اللى مركب الحشو دة لازم يشيلو
سبتمبر 4, 2025
البانثينول ده طلع حكايه ياجماعة فوائد كتير أوووي
سبتمبر 4, 2025
طول عمري كنت برمي “زلموكة الفرخة” لحد ما عرفت المعلومة الجباارة دي !!
سبتمبر 4, 2025
فوائد رهيبة لقوانص الدجاج الوجبة الساحرة 🔥😳
سبتمبر 4, 2025
فوائد مرارة الدجاج طول عمري برميها لحد ماعرفت إنها كنز حقيقي مش هترميها تاني
سبتمبر 4, 2025
ارجل الدجاج الفوائد والأضرار وحكم تناولها هام جدا
سبتمبر 3, 2025
العنب الأسود سيد الفواكه غذاء ودواء ومن المفرحات
سبتمبر 3, 2025
علاج الطب البديل للنقرس (داء الملوك) وارتفاع حمض اليوريك
سبتمبر 3, 2025
القمح المبرعم.. مصدر متعدد للعناصر الغذائية التي يحتاجها الجسم
تحميل المزيد
زر الذهاب إلى الأعلى
إغلاق
بحث عن